Confidence Starts With Your Smile

Your comfort comes first, state-of-the-art dental treatment that supports a vibrant, confident smile.

Services

Complete care, whatever you need.

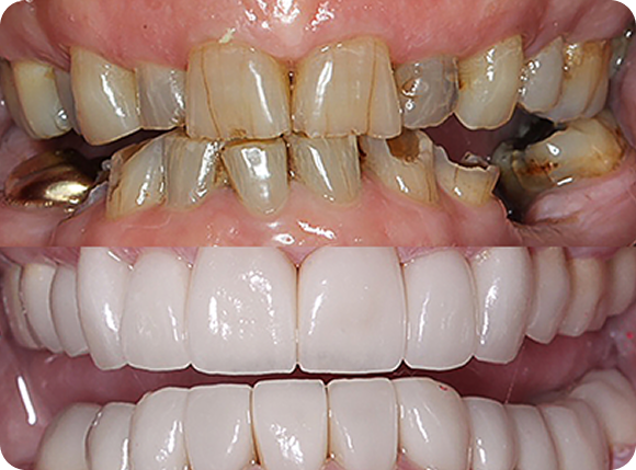
Veneers (Porcelain)

Veneers (Porcelain)

Porcelain veneers refine color, shape, and symmetry with minimal preparation. After photos, digital design, and shade selection, we do a conservative mock-up; temporaries preview the look while the lab crafts your final veneers. Placement and bonding occur at visit two, with micro-adjustments for bite and gloss. Veneers are stain-resistant and durable; care mirrors natural teeth. They’re ideal for resistant discoloration, worn edges, spacing, and asymmetry. Alternatives include bonding (more conservative) and aligners (for movement). Book a veneer consult to see candidacy and options.

Whitening (In-Office & Take-Home)

Whitening (In-Office & Take-Home)

Professional whitening lightens enamel safely and evenly. We offer fast in-office whitening for same-day results and custom tray take-home for controlled, thorough brightening over 1–2 weeks. Shade analysis, gum protection, and sensitivity management are included; we avoid dehydrating shortcuts for longer-lasting change. Whitening pairs well with bonding or veneers (done afterward to match brighter teeth). Not ideal for cavities, active gum disease, or heavy internal stains until those are addressed. Schedule a whitening consult to choose the right protocol.

Smile Makeover

Smile Makeover

A smile makeover coordinates whitening, bonding, veneers, and/or Invisalign to improve color, shape, alignment, and proportion. We start with photos, a facially driven design, and digital previews or mock-ups to set expectations. Treatment is staged: aligners or whitening first, then additive bonding or minimal-prep porcelain for lasting symmetry. Timelines range from weeks (bonding/whitening) to months (aligners/veneers). We prioritize conservative changes that look naturally “you.” Financing available; results are maintainable with good hygiene and retainers. Schedule a cosmetic consult to map your best sequence.

White Spot Removal (ICON Resin Infiltration)

White Spot Removal (ICON Resin Infiltration)

ICON treats white spots without drilling by penetrating porous enamel with a clear resin that blends opacity. After isolating and conditioning the area, resin is infiltrated and light-cured, softening contrast so the spot matches surrounding tooth. It’s excellent for post-braces spots or mild fluorosis and can be combined with whitening for best blending. Most cases finish in one visit with immediate results; sensitivity is minimal. Alternatives include micro-abrasion or porcelain for deeper defects. Book a consult to see if ICON is suitable for your spots.

Invisalign

Invisalign

Invisalign straightens teeth discreetly using a series of custom clear aligners planned with 3D software. Small tooth-colored attachments and precise staging improve control; IPR (tiny space gains) may be used when indicated. Wear aligners ~22 hours/day; change weekly; quick check-ins every 6–8 weeks. Typical timelines: 6–18 months, followed by retainers to protect the result. Aligners can precede bonding or veneers for a more conservative cosmetic plan. Schedule an Invisalign assessment to review a personalized timeline.

Dental Cleaning (Prophylaxis)

Dental Cleaning (Prophylaxis)

A professional dental cleaning removes plaque and hardened tartar above the gumline to prevent cavities and gum disease. We combine ultrasonic scaling with gentle hand instruments, then polish to lift surface stains and smooth enamel. It’s ideal for healthy gums or mild gingivitis, helps freshen breath, and keeps future visits easier. Visits typically take 45–60 minutes with no downtime; sensitivity is minimal and short-lived. If you have heavy stain or sensitivity, our GBT/AirFlow option may be recommended. Includes home-care coaching for long-term results. Schedule a cleaning to keep your smile healthy.

New-Patient Cleaning & Exam

New-Patient Cleaning & Exam

Your first visit pairs a thorough cleaning with a comprehensive exam: digital X-rays (as indicated), gum health charting, bite and cavity check, oral cancer screening, and clinical photos. You’ll leave with a personalized hygiene plan and clear priorities if treatment is needed. If signs of periodontal disease are present, we’ll discuss deeper cleaning (scaling and root planing) as the appropriate next step. Typical appointments are 60–90 minutes, with same-day treatment options when time allows. PPOs welcomed; transparent fees for uninsured patients. Schedule your new-patient visit to get a clear, actionable plan.

AirFlow / Guided Biofilm Therapy (GBT)

AirFlow / Guided Biofilm Therapy (GBT)

GBT is a gentler, more thorough clean that targets bacterial biofilm with warm water, air, and fine erythritol powder (EMS AirFlow). We disclose plaque, AirFlow the teeth and implants, then do selective scaling only where tartar remains. It’s excellent for stain, orthodontic brackets, implants, and sensitive teeth—often with shorter visits and less scraping. Enamel-safe and highly effective around hard-to-reach areas. Most appointments run 30–45 minutes and you can eat immediately afterward. Many patients find it more comfortable than traditional cleanings. Book a GBT session to see if it’s the right hygiene upgrade for you.

About Us

Modern dentistry, human care.

Mission

Tooth Doctor LA´s  mission is to treat patients in the most relaxing and comfortable environment, while using cutting edge technology to accomplish their cosmetic and dental goals.

About

At Tooth Dr. LA, we believe your smile deserves more than standard dental care. Located in the heart of Beverly Hills, our modern practice brings together advanced technology, expert specialists, and a relaxing atmosphere to deliver exceptional results.

Dedicated professionals who make every smile bright and every visit exceptional.

Our Doctors

Meet the team
behind your
best smile.

Dr. Jennifer Bossel, DMD

Dr. Jennifer Bossel is dedicated to creating healthy, beautiful smiles with precision and compassion.

Dr. Shantel Ramin, DDS

Dr. Shantel Ramin is a skilled general and cosmetic dentist with extensive experience in restorative and aesthetic procedures.

Dr. Ariel Farahi, MD. DMD

Dr. Ariel Farahi is a board-certified oral and maxillofacial surgeon with dual training in medicine and dentistry from the University
of Pennsylvania.

Frequently Asked Questions

Need Help?
We’ve Got answers

From booking your first visit to understanding payment plans and everything in between, this FAQ’s covers your top questions so you can smile with confidence.

Bonding is conservative for chips/gaps; porcelain veneers deliver durable color/shape changes. We can mock up both.

Choose in-office for fast results or custom trays over 1–2 weeks. We manage sensitivity and time whitening before other cosmetic work.

Yes—resin infiltration blends many post-braces/fluorosis spots in one visit, often combined with whitening.

Most cases run 6–18 months with 22 hr/day wear, weekly changes, and brief check-ins. Retainers protect results.

Absolutely—align first, then refine with whitening and additive restorations for the most natural outcome.

PPOs often cover exams/cleanings; cosmetic treatment is typically elective. We offer clear pricing and financing options.